
理事長は、新宿にあるインプラント治療を専門とする歯科医院で、多くのインプラント手術・カウンセリング・トラブル対応を行ってきました。この経験を活かして行う、インプラントを含めた総合治療が当院の特長です。和光市歯科の専門分野は「インプラント」です。
国際口腔インプラント協会 認定医 山崎 新


歯を失くしてしまったが、入れ歯やブリッジにはなんとなく抵抗がある…
という方におすすめなのがインプラント治療です。
インプラントは、入れ歯のように周りから気付かれることの無いほどに自然で、ブリッジのように周りの歯に負担をかけることもないため、審美面でも機能面でもとても優れている治療法といえます。
当院では、新宿のインプラント専門医院にて集中的にインプラント治療を行ってきた実力と実績を兼ね備えた理事長が治療を行います。



理事長は、新宿にあるインプラント治療を専門とする歯科医院で、多くのインプラント手術・カウンセリング・トラブル対応を行ってきました。この経験を活かして行う、インプラントを含めた総合治療が当院の特長です。和光市歯科の専門分野は「インプラント」です。


一般的に、インプラント治療は日常的に行われる治療ではありません。
当院でインプラント手術を行うのは、埋入経験が1000本以上ある歯科医師のみです。当院では国際インプラント協会認定医山崎、口腔外科認定医木内がインプラント埋入手術を行っています。


和光市歯科ではAllon4、ガイデットサージェリー、サイナスリフト、増骨治療などの難症例に対応できるよう院外・院内での勉強会を行い、常に知識・技術のアップデートを行っております。


ガイドデントとは第三者機関による公正な保証制度です。インプラント10年保証書が交付されますので、再治療や引っ越し先でも安心の保証内容となっています。
詳しくはこちら >>



和光市歯科では、インプラント治療にプライドを持って診療に当たっております。
使用するインプラントメーカーも業界トップクラスのブランドのみを使用しておりますので、安心して治療をお受けいただけます。
治療後のメンテナンスを考慮したメーカー選択
シェア率の高いインプラントメーカーを使用することで、万が一引っ越しなどで当院に通院が難しくなった場合も、お近くの歯科医院でメンテナンスを受けていただける可能性が高くなります。
患者様のご事情なども考慮して、治療を行っております。


当院では、インプラントオペをより安全に、より正確に行うためにX-guideを導入しております。
X-guideは、CT撮影にて骨や神経、血管の位置を把握した後、コンピュータ上でオペのシミュレーションを行います。
GPS測定により、シミュレーション通りの角度、深さに誤差無くインプラントを埋入できるようにナビゲーションします。
全ての治療過程がデジタル化されており、神経や血管の様子をリアルタイムで確認できるため、より安全なインプラント手術を実現いたします。
X-guideについて詳しくはこちら >>


当院はCGF・AFGの使用を認められた、再生医療等提供計画番号を取得している歯科医院です。
ご自身の血液から高い再生能力をもつ生体材料を作ることで、骨や歯周組織の再生や回復を早めることが出来ます。
この再生療法をインプラント治療に取り入れることで、術後も安全で、さらに早い回復が期待できます。
CGFとAFGを用いた再生療法について
詳しくはこちら>>


当院では、安全性を第一に考えたインプラント治療を行っております。
インプラントが骨にしっかり安定するまでは必ず仮歯を入れ、顎の位置を固定させてから本歯へ置き換えます。
治療が終わった後も、患者様に快適にお過ごしいただくためにコストは惜しみません。

持病や骨の状態によっては、インプラント治療が適さない患者様もいらっしゃいます。
事前にしっかりと精密検査を行い、インプラント治療が難しいと判断した場合は無理にインプラント治療を勧めることはございません。
末長く健康なお口を保っていただくために、別の治療方法をご提案させていただきますので、迷われている方もまずはご相談ください。
当院では歯科用CTを導入しています。>>

当院では今までよりさらに高いレベルで滅菌を徹底するために世界基準を満たした「クラスB滅菌器」を使用しております。
滅菌前や乾燥時に真空状態を作り出すことが出来るのでどんな複雑な形の器具も滅菌することが可能です。
一般診療で使用される器具などはもちろん、インプラントで使用されるオペ器具なども徹底して滅菌の対策をおこなっていますので安心して治療を受けていただくことが出来ます。

インプラントは半永久的だと言われているため、その分安心できる保証制度があると安心ですよね。
当院で行ったインプラント治療では、長期保証がついているためインプラントに万が一トラブルがあった場合にも期間内であれば無償で対応いたします。
(※医師の指示通りに定期検診を受けている場合)
詳しい保証期間はカウンセリング時にお伝えさせていただきます。
また、当院は第三者機関による公正な保証制度「ガイドデント」の認定医療機関です。
インプラント10年保証書が交付されますので、再治療や引っ越し先でも安心の保証内容となっています。
詳しくはこちら >>

インプラント手術の安全性が心配になられる方も多いのではないでしょうか?
和光市歯科では、インプラントを正確な位置に埋入するために3Dナビゲーションシステム X-Guideを導入しております。
手術中の事故の回避
歯や骨の状態はもちろん、骨の内部にある神経や血管の様子まで3D画像でリアルタイムに確認することができます。手術中に神経や血管を確実に避けることができるため、より安心なインプラント治療が可能になりました。
治療期間の短縮
従来、安全にインプラントを行うために必要としていたサージカルテンプレートの製作、調整というステップが不要となるため、インプラント手術に早く取りかかることができます。
多くの患者様に適用可能
サージカルテンプレートを使用する場合、口を大きく開ける必要があり、口が開かない方には適応できないケースがありましたが、X-Guideではあらゆる患者様への適用が可能となります。

CGFとAFG、ともに採血するだけでご自身の血液から高い再生能力をもつ生体材料を院内で作ることが出来ます。
インプラント治療に高い効果がある、安全な治療法になります。
CGFとは、損傷された組織の再生・治癒に働く「成長因子」を多く含んだ自己血液フィブリンを濃縮したゲルです。
患者様ご自身から採血した血液に、添加物(抗凝固剤や凝固促進剤など)を一切加えず特殊な遠心分離機にかけて作製します。
このCGFを傷口に用いることで、骨や歯周組織の再生を促進させるため、治療期間の短縮が期待できます。
AFGとは、抗凝固剤が入っていない血漿の事で、自然な状態に最も近い血漿のことです。
血漿は毛細血管を介し組織液と循環する事で、各細胞に栄養やホルモンを運ぶ働きがあります。
AFGに骨補填材を混ぜることによりゲル状に固まるため、大幅な操作性の向上が可能となり、インプラント埋入時の骨造成、歯周外科、GBRなどの外科処置が、格段に効率よく行えるようになりました。
インプラントとは、歯を失ってしまった部分にチタン製の人工歯根を埋め込んで、その上に人工の歯を被せる治療法です。
顎の骨に直接埋め込まれているインプラントは、外れたりずれたりする心配がなく、ご自身の歯と同じように会話やお食事を楽しむことができます。
インプラントは、人工歯根(フィクスチャー)と連結部分(アバットメント)と人工歯(上部構造)で構成されています。

上記のようなお悩みをお持ちの方は、ぜひお気軽にご相談ください。
オールオン4とは?
全ての歯を失った場合、数多くのインプラントを埋め込む必要があります。また期間も3ヵ月~6ヵ月ほどかかってしまいます。
しかし、オールオン4は上下の顎それぞれ4~6本のインプラントのみで、全ての歯を支えることが可能です。
抜歯からインプラントの埋入、仮歯の装着まで1日で行うことが可能ですので、患者様の負担を軽減できます。
右図のようにインプラントを斜めに埋め込むことでかかる力を分散させ、噛む力を均等に全ての歯を維持することができます。

和光市歯科は、
Allon4考案者パウロマロ歯科医師の医院
「マロ・クリニック東京」の提携医院です。

プロビジョナルレストレーション
インプラント手術後に使用する仮歯です。
上部構造ができるまでの間一時的に装着します。歯茎はインプラント側に押し寄せてきますので、仮歯を装着することで、歯茎の形を整えます。また咬み合わせを調整し、本歯の精度を高めることができます。
ガイドオペ(ストローマンガイド/ノーベルガイド)
コンピューターでシミュレーションし、インプラントを埋入するガイドシステムです。事前に撮影したCTのデータをもとに、インプラントが最適な位置に埋入できるよう安全で精確な計画を立案します。
このデータを基にサージカルガイドというマウスピースを作製します。インプラント埋入のための正確な位置、角度、深さが設計されているため、手術時に装着することで、より精確で安全なインプラント手術を行うことが可能です。
抜歯即時埋入
抜歯即時埋入とは、抜歯と同時にインプラント体を埋入する治療法のことです。抜歯直後の骨や歯肉の形態を活かすことで、骨吸収の抑制や審美性の維持を図ることができます。治療期間の短縮が期待できる場合もありますが、適応症例の選定が重要です。
ポンティック(インプラント治療における)
インプラント治療におけるポンティックとは、欠損部に対してインプラントを埋入せず、周囲のインプラント体に支えられる形で人工歯(ダミー歯)を設置する補綴方法のことです。主に骨量不足や解剖学的制約のためインプラント埋入が困難な部位に適用されます。審美性および咬合機能の回復を図るとともに、治療負担の軽減を目的としています。
IVS(静脈内鎮静法)
静脈注射で抗不安薬や静脈麻酔薬などを直接投与し、鎮静状態にする方法です。
眠ったような状態、あるいは入眠状態になりますので、リラックスした状態で治療を受けていただけます。

インプラント手術では骨の量が足りない場合、インプラントを埋入することができません。
その場合は骨を厚くするために、下記のような方法があります。
サイナスリフト法
上顎骨の内部に上顎洞というという空洞があり、 歯を失うことで空洞が下に拡大し、骨の高さが足りない場合があります。
その場合に上顎洞底面の粘膜を持ち上げ、隙間をつくり、骨移植や再生療法などで骨造成を誘導する治療法です。
GBR法(骨誘導再生治療)
骨量が足りない箇所をご自身の骨や、骨の変わりとなる材質を使用して補い、骨の再生を誘導する方法です。インプラントを埋入し、それを支えにしながら人工膜を造ります。
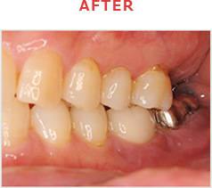
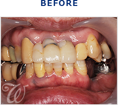
症例①
症例②
症例③
症例④
症例⑤
症例⑥
初診時、全顎的に中等度~重度の歯周炎が認められる。
基本治療終了後、上顎オペ時、即時に仮歯を装着している。
下顎オペ時、右上に1本インプラントを追加した。
最終補綴装置装着時、チタンフレームの適合が良好なのが確認できる。
アクセスホールは顎堤の範囲内に収められて、メンテナンス性は良好。
清掃性を重視したオベイド型の最終補綴装置。
口腔内の変化に応じて上部構造の底部を変えられる素材。
医療費控除とは、納税者ご自身やご家族が支払った医療費が年間10万円を超えた場合、申告をすると税金の一部が還付する制度です。
歯科治療の場合、保険適用の治療費以外にもインプラントや矯正治療などの保険適用外治療の費用も含まれます。
※領収書は再発行できませんので、大切に保管をお願いいたします。